Kor Whitening: Case 1
Description
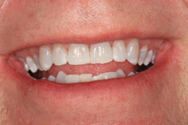
This patient has not been happy with the color of his teeth for a VERY long time!
This patient has not been happy with the color of his teeth for a VERY long time!
Sonoran Dental Design is a high-tech dental practice in Scottsdale, AZ, that prioritizes patient care and comfort. Dr. Ann Sielicki is a dentist who is highly trained and committed to continued education. Dr. Sielicki is affiliated with:
We invite you to request an appointment with our practice by filling out our online form or calling (480) 419-9595.
