Dental Bonding Scottsdale
Repair Chips, Cracks, and Stains With Natural Results
- Conservative cosmetic treatment with fast results
- Tooth-colored resin blends seamlessly with natural teeth
- Trusted care from Dr. Ann Sielicki, practicing since 1995
- Affordable, non-invasive alternative to veneers
What Our Patients
Are Saying
About Our Dental Team
in Scottsdale, AZ

Get to Know Dr. Ann Sielicki
With nearly three decades of experience, Dr. Ann Sielicki has earned the trust of Scottsdale patients seeking cosmetic and restorative care. She combines advanced training with a compassionate approach, making dental bonding and other cosmetic procedures comfortable and rewarding.
- Practicing dentistry since 1995 with a focus on smile design
- Active in the SPEAR and Seattle Study Clubs for ongoing education
- Experienced in cosmetic treatments including bonding, veneers, and whitening
- Dedicated to using state-of-the-art technology for precision and comfort
- Known for her warm, patient-centered chairside manner
Dr. Sielicki’s goal is simple: to help every patient feel confident in their smile. Whether repairing chips and cracks with bonding or designing full smile transformations, she delivers care that blends artistry, science, and genuine compassion.
Making Dental Bonding Affordable in Scottsdale
Dental bonding is one of the most cost-effective ways to restore a tooth and improve your smile. Many patients choose bonding because it is less expensive than crowns or veneers in Scottsdale, AZ, while still offering natural, long-lasting results.
Insurance Coverage
Bonding is often considered cosmetic, which means many insurance plans won’t cover treatment. However, if bonding restores function — for example, repairing chipped teeth — some coverage may apply. Our team can help you understand your benefits and maximize any eligible support.
Financing Options
For patients paying out of pocket, we accept CareCredit®. This flexible financing option allows you to break up the cost of treatment into manageable monthly payments, so you don’t have to delay the smile you want.
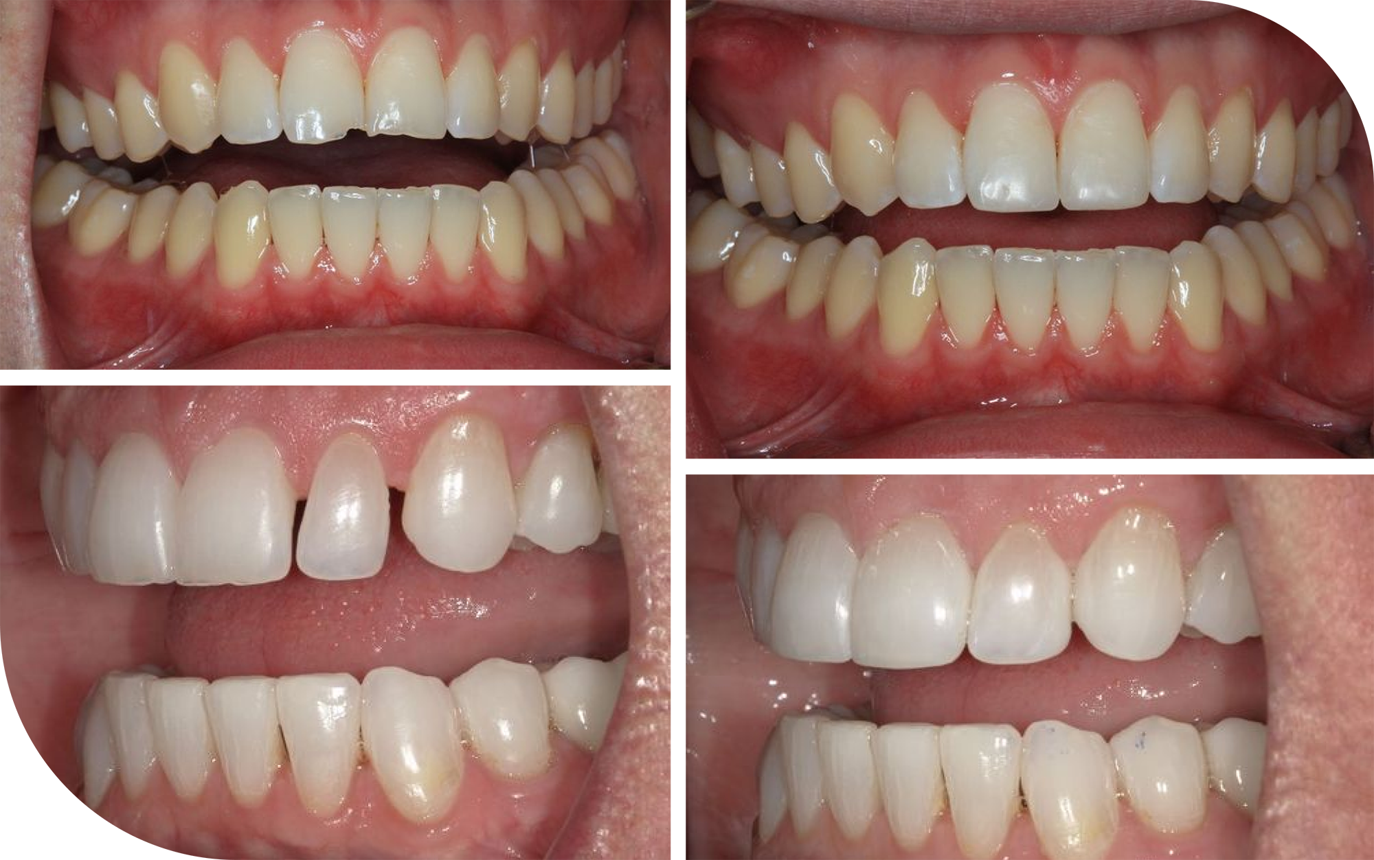
Cosmetic Concerns We Can Treat With Dental Bonding in Scottsdale

Sometimes called teeth bonding, dental bonding is a conservative cosmetic dentistry treatment that can be used to provide dramatic results. For the procedure, Dr. Sielicki applies a tooth-colored composite resin to change the shape, size, or color of a single tooth or multiple teeth. It's ideal for patients looking to correct relatively minor aesthetic flaws, including:
Chipped, Cracked, or Broken Teeth
Misshapen or Small Teeth
Stained or Discolored Teeth
Minor Misalignment Issues
Small Gaps Between Teeth
Patients who do not qualify for veneers due to insufficient enamel are often great candidates for bonding. To determine if this dental procedure is right for you, get in touch with our team in Scottsdale today.
How Bonding Works at Our Scottsdale Office
While the specifics of teeth bonding can vary from patient to patient, your treatment process will typically look something like this:

What If Dental Bonding Isn’t Enough?
While dental bonding is an excellent option for small chips, cracks, and stains, some patients may benefit from more comprehensive solutions. If bonding doesn’t fully address your goals, we offer a variety of cosmetic procedures to help you achieve lasting results:
- Porcelain Veneers: Thin ceramic shells that conceal deep discoloration, gaps, or multiple flaws at once.
- Dental Crowns: A stronger option when a tooth is significantly damaged or weakened.
- Invisalign in Scottsdale, AZ: Clear aligners that correct mild to moderate misalignment without brackets or wires.
- Teeth Whitening: A professional system to lift stubborn stains and brighten your entire smile.
- Smile Makeovers: A customized combination of treatments designed to completely transform your smile.
Not sure which treatment is right for you? Dr. Sielicki will review your smile goals and recommend the most effective option to ensure natural, long-lasting results.
Frequently Asked Questions About Dental Bonding in Scottsdale
Q: How long do dental bonding results last?
A: Bonding results typically last three to 10 years. The exact lifespan depends on your oral hygiene, eating habits, and whether you avoid stain-causing foods and habits. With proper care and regular dental visits, bonding can provide durable and natural-looking results.
Q: Does dental bonding damage natural teeth?
A: No. Dental bonding is a non-invasive cosmetic dental procedure that requires little to no removal of natural tooth structure. The composite resin is simply applied, shaped, and hardened on the surface of your teeth, protecting your enamel while improving appearance.
Q: Can dental bonding be whitened?
A: No. Composite resin does not respond to whitening treatments the same way natural tooth enamel does. If you’re considering teeth whitening, it’s best to complete whitening first and then match the bonding resin to your new tooth shade for seamless results.
“The best of the best.”
“Simply the nicest, most professional and caring people in the dental industry. If you are even a little dissatisfied with your current dentist and/or hygienist try Sonoran Dental. Dr Sielecki and her Team are the best of the best. I promise you (and your teeth!) will have a new home!” — Drew G., 5-star review


Get to Know Dr. Ann Sielicki





