A healthy foundation is essential before any cosmetic treatments can proceed.
Veneers in Scottsdale, AZ
“Hands down the best dentist.”
– Ann, 5-Star Review
- 300+ 5-star reviews
- An award-winning dentist
- Flexible financing
- State-of-the-art tech

See Our Results Imagine What We Can Do for You
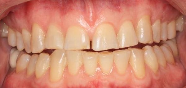
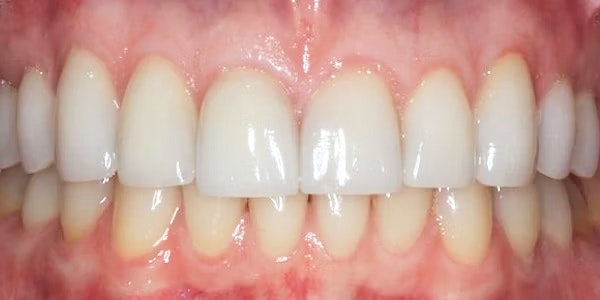
Our dentist in Scottsdale, AZ, transformed this patient's smile. You may notice the initial misalignment of the upper and lower dental arches, some tooth staining, and a distracting gap between his front two teeth. Dental veneers masked the distracting gap and produced a straighter, whiter smile.

You Deserve to
Love Your Smile
We Are Here to Help
Dr. Ann Sielicki and the team at Sonoran Dental Design know how important it is to feel good about your teeth. A beautiful smile is an asset that can profoundly improve your personal and professional life and give you confidence that you didn't know was possible.
We are dedicated to helping patients reach their potential with top-of-the-line cosmetic dentistry in Scottsdale, AZ. Using the highest quality materials and the latest techniques in the field, our work consistently exceeds expectations. If you are ready to achieve a stunning transformation yourself, book your free consultation today. You can reach our Scottsdale, AZ, dental practice online or by calling us.
Scottsdale Recommends Us
Excellent w all the modern technology of dentistry. Very professional staff. Pleasant atmosphere. I highly recommend.
View on Google
Advanced Technology to Visualize Your New Smile
Many Scottsdale veneer patients want to see what their new smile will look like before they undergo cosmetic treatment. Our iTero® intraoral scanner allows us to take impressions of your mouth, eliminating the need for messy putty impressions. It also allows your dentist to create a preview so you can see what your new smile will look like before the impressions reach the lab.
Dr. Ann Sielicki Explains Veneers Learn the Basics of This Cosmetic Dental Procedure
Dr. Ann Sielicki of Sonoran Dental Design provides some key information for Scottsdale veneer patients. Find out what these custom tooth-colored shells can do for you.
Understanding Cost & Financing

Cost is a very important factor in your decision to undergo treatment. Veneers cost in Scottsdale, AZ, will ultimately vary from patient to patient, depending on the material used, the number of teeth being treated, and additional cosmetic and restorative procedures you may need. Dr. Sielicki can provide you with a personalized estimate for your treatment during your consultation at our Scottsdale dental office.
Because veneers are considered cosmetic dentistry and thus an elective treatment, insurance does not cover the cost. However, we do provide options to make treatment more affordable. We are happy to accept financing through CareCredit®, and we'll help you coordinate a payment plan that works for your budget.
Hear From Another
Scottsdale Patient
"I have been forever scared of dentists, this place absolutely rocks! I now look forward going to the dentist! They definitely take care of each patient and really do care about each and everyone! HIGHLY RECOMMEND Sonoran Dental Design!"
Jon C., 5-Star Google Review

Not Sure If Veneers are Right for You?
Arrange a consultation to find out
If you are unhappy with your teeth due to cosmetic imperfections, cosmetic dentistry treatments like porcelain veneers are often an excellent option to transform your smile. However, they are not for everyone. When you explore cosmetic dentistry in Scottsdale, AZ, our dentist will examine your mouth and discuss your goals to determine the best course of treatment for you.
Get started on your journey to a beautifully transformed smile. Request your consultation by filling out our online form or by calling us today.
Candidates for Treatment
Do you have old veneers that have reached the end of their lifespan? There's no reason to worry. The team at Sonoran Dental Design can easily provide replacements that are custom-designed and look completely natural.
You may be a good candidate if:
You have healthy gums and teeth
You are committed to proper oral hygiene and care
It is important that you properly brush and floss, as decay can develop under the porcelain veneers. Proper hygiene also helps the beautiful results of your cosmetic treatment last longer.
You have a sufficient amount of tooth enamel for treatment
Because porcelain veneers require a small amount of enamel to be removed, you must have sufficient enamel for treatment.
You do not suffer from bruxism
Grinding and wear can damage the porcelain veneers. They are not suggested for patients who suffer from bruxism.
You are interested in a more permanent solution for cosmetic flaws
It is important to understand that once the tooth is altered for veneers, it will always require some sort of restoration.
The Porcelain Veneers Timeline
Here is what you can expect when you undergo treatment at our office. Keep in mind that your veneers can also be incorporated into a smile makeover in Scottsdale, AZ, and this will involve additional steps:
Thanks to our use of the highest quality porcelain and the latest techniques in the field, we consistently exceed expectations.

Ready to Take
the Next Steps?
Call Our Scottsdale Practice Today
At Sonoran Dental Design, we pride ourselves on providing patients with high-quality dental care. We love helping patients achieve healthy and beautiful smiles, and we are here to guide you every step of the way. Our dentist and team are happy to answer any questions you may have. We want each patient to feel educated and confident in their treatment options.
If you are ready to take the next step to the dazzling smile of your dreams, request an appointment by contacting us online. You can also call us.
We Keep Our Patients Happy More Positive Reviews for Our Office in Scottsdale, AZ
How Long Will
My Veneers Last?
/
With proper care, they can last up to 15 years before they eventually need to be replaced. While quite durable, remember that they are subject to wear and tear just like your natural teeth. Be sure to abide by the advice above to help your new smile last as long as possible.
Replacing Old Veneers

Do you have old veneers that have reached the end of their lifespan? There's no reason to worry. The team at Sonoran Dental Design can easily provide replacements that are custom designed and look completely natural.
The Replacement Process
The replacement procedure is very similar to the initial placement of a veneer. Dr. Sielicki will carefully remove the bonding agent. After cleaning the teeth, additional tooth preparation may be performed as needed, maintaining as much structure as possible.
A new impression will be taken of your teeth so replacements can be custom-made at a dental laboratory. When they are ready, they will be securely bonded onto your teeth.
We Can Also Treat Damaged Veneers
If they ever get chipped, cracked, or otherwise damaged, you can come to our Scottsdale office for replacement.

Need a Dentist?
Contact Sonoran Dental Design to Make Your New Smile Last
If your old veneers need replacement or one of your veneers is damaged, Dr. Sielicki and her team are ready to help out.
The team at Sonoran Dental Design can check your veneers during cleanings and address issues as they arise so you can experience long-lasting cosmetic dentistry benefits. If you're new to Arizona and need a cosmetic dentist to check or replace veneers from another practice, we can do that too.
To discuss your needs with a trusted and proven dental care team, contact our Scottsdale dental office today.
We Make Sure You Feel Confident Prioritizing Comfort as Well as Beautiful Results
“Have been going to Dr. Sielicki for more than 20 years. Her dedication and professionalism to her patients is amazing. Always makes you feel comfortable during your dental appointment. Her entire staff is great!”
Gaetana Carl, 5-Star Google Review
Frequently Asked Questions About Porcelain Veneers
Is placement painful?
Most patients experience no pain at all when receiving veneers in Scottsdale. Prior to placing a veneer, Dr. Sielicki numbs the tooth and the surrounding area to prevent discomfort and sensitivity. There is no recovery time, and most patients adjust to the feel of their dental veneers very comfortably.
What happens if a veneer falls off?
If a veneer falls off, do not throw it away. Dr. Sielicki can easily bond it back into place during an office visit. Trying to reattach it yourself is not recommended. Contact our Scottsdale office if you have any problems, and we will schedule you an appointment as soon as possible.
I've had bonding in the past but want veneers. Is that possible?
Yes. However, you will need an examination by our dentist to determine if you have sufficient enamel first. Once Dr. Sielicki determines your tooth is healthy enough for a veneer, our Scottsdale practice can move forward with replacing the bonding material with a custom veneer.
Will they match the color of my natural teeth?
Yes; during your consultation, we will discuss the color of your restorations and help you select the optimal shade. If you are unhappy with the color of your enamel prior to treatment, we recommend first whitening your teeth and matching the veneer to the new shade. Our Scottsdale veneer patients frequently combine cosmetic procedures like whitening and gum contouring with their veneers to achieve more comprehensive enhancement.
Do I need to replace my veneers in the future?
Carefully designed, properly placed, and well-maintained veneers made of durable porcelain can last for many years. Nevertheless, your restorations will likely need to be replaced at some point. Because your natural tooth is reshaped in order to accommodate a veneer, the tooth will always need to be covered with a restoration (either a veneer or a crown).
More 5-Star Reviews From Satisfied Scottsdale Veneer Patients
Excellent dentistry. Honestly, the best in terms of skill and professionalism. And great patient service with an authentic friendly approach by all members of the team. I can’t say enough.!
View on Google
What a fantastic office! Very professional, friendly, and most importantly, thorough!! I always have a great experience at my dental visits!
View on Google


















