Invisalign in Scottsdale, AZ
"They go the extra mile."
– JJ Birden, Invisalign Patient
- Educating patients on the benefits of straighter teeth
- More precise, comfortable scans with digital technology
- Insurance accepted & financing for out-of-pocket costs
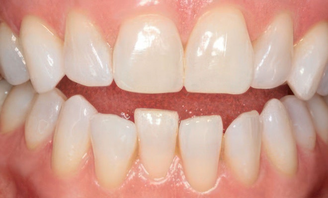
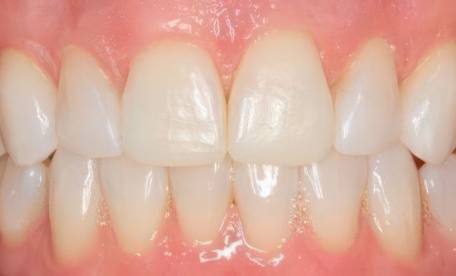
See How Transformative Invisalign Can Be
We were able to improve this patient's appearance as well as gum health with Invisalign treatment. Teeth whitening and dental bonding in Scottsdale, AZ, provided the finishing touch for a smile that's unforgettable for all the right reasons.
Learn Why We Have Hundreds of 5-Star Reviews
“I am being treated with Invisalign by Sonoran Dental Design. Dr Sielicki and her assistant Kelly used a digital scanner to create a 3D model of my teeth and showed me a rendering of the exact movements my teeth would make during treatment. The process was simple and easy. Dr Sielicki and her team clearly have the best technology, team, and clinical skills. I am looking forward to all my future visits!”
– Cameron, 5-Star Review

Book Your Free Invisalign Consultation
With Our Team in Scottsdale, AZ
If you are interested in improving the health, function, and appearance of your smile, reach out to our team at Sonoran Dental Design.
Dr. Ann Sielicki began practicing dentistry in 1995. She is committed to helping our patients achieve the beautiful smiles they dream of. Each and every treatment plan is created to meet your unique needs and goals.
To find out if Invisalign is right for you, request an appointment today. Contact us online or call our Scottsdale, AZ, office:
We Accept Insurance
& Flexible Financing
Many insurance plans cover Invisalign the same way they would cover braces. Our Scottsdale team will work directly with your provider to seek maximum benefits on your behalf.
If you need help with any out-of-pocket costs, we accept CareCredit®, which is a third-party financing option that allows you to pay for your treatment in monthly installments with little or no interest.
What Is Invisalign?
/
Invisalign is a modern orthodontic treatment that has transformed the teeth of more than 14.5 million adult and teenage patients. Unlike braces, which use noticeable and potentially uncomfortable brackets and wires, Invisalign straightens teeth using smooth, clear, removable plastic aligners.
Dr. Sielicki Explains How Invisalign Works
At Sonoran Dental Design in Scottsdale, we provide highly precise Invisalign treatment. Let Dr. Sielicki explain how the benefits of Invisalign are more than just cosmetic. This discreet orthodontic system can also make it easier to maintain your oral health.
The Advantages of Invisalign
We take care to educate patients at our Scottsdale dental office on the benefits of a straighter smile. If you undergo Invisalign treatment, you can expect:

Enhanced Appearance
The most obvious benefit of this treatment option is that you can enjoy a straighter, more attractive smile.
Improved Confidence
With your new smile, you can also find improved confidence. This can make a big impact on your social life, and even your career.
Discreet Treatment
Choosing Invisalign lets you enjoy discreet treatment. Because the aligners are clear, they are virtually invisible to others.
No Dietary Restrictions
Since aligners are removable, you can still consume all your favorite foods. Simply remove the trays before meals.
Invisalign Can Treat Even Complex Cases
One of the best things about Invisalign is that it can treat many of the same orthodontic conditions as traditional braces. Clear aligners can correct:
- Crooked teeth
- Crowded teeth
- Gaps or spaces
- Rotated teeth
- Overbites
- Underbites
- Crossbites
- Open bites
A Dentist Who Puts You and Your Smile First Patients Throughout Scottsdale Have Come to Us for More Than 25 Years
The most detailed services in dental care I have received. We have recommended to our friends .
View on Google
Setting in a dental chair is not my favorite thing to do. Actually it’s scary for me. But Dr Ann Seilicki and staff put me at ease and I know I am getting the best treatment and they CARE about me. I am so grateful that I found them, they are the best.
View on Google
Join our happy patients and reach out today!
See How Invisalign Differs From Traditional Braces
This video breaks down the main differences between Invisalign and metal braces. If you have questions about Invisalign in Scottsdale, AZ, our team is happy to speak with you.

Learn More About Invisalign
Request a Free Consultation
Invisalign has many advantages over braces. You can boost those benefits by coming to Sonoran Dental Design for your clear aligner treatment.
During your complimentary consultation, we can examine your teeth and let you know if Invisalign or braces are a better fit for you. We can also answer questions about Invisalign cost, average treatment times, and cosmetic dentistry in Scottsdale, AZ, that can put the finishing touches on your post-treatment smile.
To learn more about this state-of-the-art approach to treating crooked teeth, contact our dental office in Scottsdale, AZ. You can also call:
We Earn Patient Loyalty For Years to Come
"Dr Ann Sielicki and her team are top notch. I've been her patient for 10+ years even after have moved to California. I keep coming back to her for anything related to dental care." — Agustin, 5-Star Review
But Is Invisalign Right for Me? Determining Your Candidacy for Invisalign
During your initial consultation, we can discuss what Invisalign can do for you and show you before-and-after photos of real patients. We'll also discuss your concerns, smile goals, and health history. Aligner therapy may be right for you if you have:
Good Oral Health
Before straightening your teeth, we must ensure that you do not have extensive tooth decay, gum disease, or other serious problems. We can treat these issues at our office.
Mild to Moderate Misalignment
While clear aligners can correct the majority of orthodontic problems, complex cases may require traditional orthodontics. We can put you in touch with an orthodontist in the Scottsdale area.
Commitment to Treatment
To be effective, aligners should be worn for a minimum of 22 hours every day. They should only be removed to brush, floss, eat, and drink, and must be worn to sleep each night.
The Typical Invisalign Treatment Timeline
Invisalign treatment takes about 12 to 18 months to complete. It may take shorter or longer depending on your specific case. Here are some general steps to expect during the treatment process:
We offer free consultations and accept financing. You can afford a straighter smile!
Ready for a Straighter Smile?
Request a Consultation Today
Invisalign can transform your teeth without the drawbacks of braces. The sooner you start your treatment, the sooner you can have a gorgeous new smile to share with those around you.
We offer free consultations for new patients. You have nothing to lose just by exploring your options. Call or write to our Scottsdale team to begin.
(480) 419-9595

Misplace an Aligner?
Here's What Patients Should Do
Even diligent Invisalign patients may lose an aligner. Maybe you were in a rush and left your trays at a restaurant while having lunch, or maybe you misplaced them while cleaning and they accidentally got thrown out.
Whatever the case may be, there's no need to worry.
As soon as you notice your aligners are missing, be sure to contact our Scottsdale team as soon as possible. Depending on where you were with the treatment process, we may advise you to wear your previous set of aligners or advance to your new set of aligners. We'll be sure to work out a good solution.
Always Welcoming to New and Old Patients More Satisfied Visitors Throughout Scottsdale, AZ
You guys are great and the best dental office I have ever experienced in my lifetime! It is a relief to know that I will never have to go to another dentist office for the rest of my lifetime because I have found the number 1 office in Arizona. Thanks For everything you do it really does put a smile on my face!!!
View on Google
Being treated here has been one of the most positive experiences I've ever had. This group of professionals are amazing. Each and every time I come here I feel well taken care of. And I look so beautiful... Thank you so much . If you are looking for excellent dental care you will find it here ..
View on GoogleInvisalign FAQs
Can I get Invisalign even if I've had braces in the past?
Yes, absolutely. If you have previously undergone orthodontic treatment, only for your results to become compromised, you can still enjoy a beautiful smile. As we'll explain in your consultation, even repeat patients can straighten their teeth with Invisalign. When we're done, we can also guide you through maintaining your final results.
What if I have multiple aesthetic concerns — can you still help?
Yes, we can. Our Invisalign patients can explore a solution to all their insecurities with a smile makeover in Scottsdale, AZ, or even a full mouth reconstruction in Scottsdale, AZ. This custom treatment allows us to also refresh chipping, stains, and small teeth by combining your Invisalign with other cosmetic dentistry treatments. Options can include teeth reshaping, teeth whitening, and veneers in Scottsdale, AZ.
Can I get Invisalign if I have a dental crown?
Depending on your unique situation, you may be able to get Invisalign even with a dental crown. We can evaluate your candidacy during a free consultation to see if you qualify.
















