Cosmetic Dentistry Scottsdale, AZ
Reveal Your Best Smile With Expert Care
- Hundreds of 5-Star Reviews From Scottsdale Patients
- Free, No-Pressure Consultations
- Advanced Technology for Precise, Comfortable Results
- Spa-Like Comforts and Sedation Options for Relaxation
Total Commitment To Exceptional Dental Care

At Sonoran Dental Design in Scottsdale, AZ, our staff is committed to providing the highest level of care and expertise possible. Whether you are interested in teeth whitening, dental implant restoration, or a complete smile makeover, we can utilize the latest technology in dentistry to help you achieve stunning results.
Our team regularly engages in continuing education to further our skills, so you can trust that we are on the leading edge of cosmetic dentistry. It's just another way we can ensure our patients have the best possible experience and gorgeous treatment results that last.
Find out what we can do for you by requesting a consultation at our North Scottsdale, AZ, dentistry practice:
Scottsdale Rates Us 5 Stars
"The personal touch is alive and well at Sonoran! Everyone there is Very detail-oriented, and the facility is super high tech." — Mark, 5-Star Review
Convenient Payment Options
Our cosmetic dentist has been turning problem smiles into masterpieces for years and can help you choose cosmetic treatments that improve your smile and fit your budget.
What Is the Price of Treatment?
Costs depend on what and how many procedures you select. Some procedures, like dental bonding and whitening, are very affordable.
Can I Use My Dental Insurance?
While strictly cosmetic care, such as veneers, is not covered by insurance, treatments that are done for medical reasons can be. Our staff can provide cost estimates and help you find out what insurance will pay for.
Can I Set Up a Payment Plan?
Yes. For purely cosmetic procedures, interest-free and low-interest financing is possible through CareCredit® so that you can improve your smile and spread the cost out so it fits your monthly budget.
What Makes Sonoran Dental Design Different?
Sonoran Dental Design is a leader in cosmetic dentistry in North Scottsdale, AZ. Much of this is based on our patient-centered approach to care. We take time to get to know you and cater to your oral health needs. Come in for a visit to learn how we can enhance your smile.
We Can Bring Out the Best in You
We Offer a Range of Cosmetic Procedures To Address Different Aesthetic Concerns Affecting Your Smile
Sonoran Dental Design offers different dental services designed to enhance the overall appearance of your smile. Our dentist in Scottsdale can also combine cosmetic procedures with restorative dentistry treatments to improve the look of your smile and your oral health as well.
Teeth Whitening
Do you want to reverse the effects of coffee, tea, or red wine staining your teeth? Our dental office in Scottsdale, AZ, offers KöR Teeth Whitening to help you achieve your cosmetic goals. This highly effective take-home whitening system uses an advanced formula to gently break apart stubborn stains with no lasers or lights. Instead, KöR uses comfortable, form-fitting trays to hold the whitening gel in place, leaving you with a smile up to eight shades brighter.
Porcelain Veneers
Have you always wondered how celebrities achieve their perfectly white, straight, and bright smiles? The answer is custom dental veneers. Known as the Hollywood smile treatment, lifelike porcelain veneers can enhance your front teeth if they are too small, too big, uneven, or slightly chipped or cracked. Placing our ultra-thin high-quality veneers is the most reliable method of masking compromised teeth and restoring the most eye-catching feature of your face.
Invisalign
Do you want straighter teeth? Are you hesitant about the hassle of metal brackets and uncomfortable wires? Invisalign® uses custom-made clear aligners to gently shift your teeth into place. The best part? They're removable, virtually invisible, and extremely easy and convenient to use. Wear a new set of aligners every two weeks, and once treatment is complete, you're left with the stunning smile you've always wanted.
Smile Makeover
For patients who want a complete transformation, a smile makeover can rejuvenate your entire appearance. A smile makeover is fully customizable based on your cosmetic goals and budget. Patients can choose from a range of solutions, including dental implant restorations, veneers, or teeth whitening. If you're looking for life-changing dental treatment that changes your entire appearance, a smile makeover at Sonoran Dental Design may be right for you.
Dental Bonding
Are you dealing with chips, cracks, or gaps in your teeth? Dental bonding is a simple but effective procedure that can be completed in just one visit at our Scottsdale practice. Our cosmetic dentist can place tooth-colored resin onto the tooth to repair a fracture, cover up discoloration, or close a small space between two teeth. The surface of the tooth is then sculpted, hardened, and polished to your desired aesthetic.
Tooth Reshaping
Is a dental flaw such as an uneven tooth edge or razor-sharp canine tooth holding you back from feeling confident in your smile? Tooth reshaping is a simple and cost-effective treatment that removes or restructures part of the outer surface of a tooth. Whether you want to even out or shave down a tooth, our cosmetic dentist can comfortably and artistically reshape your tooth to better blend in with your smile.

A New Smile Awaits
Call Our North Scottsdale, AZ, Dental Practice Today
Dr. Sielicki and our team love what we do. We enjoy developing long-lasting relationships with our dental family and pride ourselves on treating each patient with respect and compassion. We empower our patients by creating safe relationships that allow us to educate, communicate, and create awareness about the best that dentistry can offer.
We enjoy giving patients smiles that inspire confidence and improve their quality of life. Call us or request an initial consultation using our online form to experience personalized dental care and achieve the beautiful smile of your dreams.
“Another wonderful experience.”
"Another wonderful experience at Sonoran Dental Design. On time, as usual, and well taken care of. I would recommend to anyone looking for an exceptional dentist and dental practice." — Bob, 5-Star Review
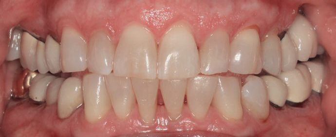
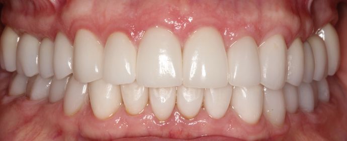
Candidates for Cosmetic Dentistry
At Sonoran Dental Design, we want to create beautiful smiles that patients can't help but share. However, there are a few factors to consider before undergoing cosmetic treatments at our North Scottsdale dental office.
- Good Overall Oral Health
- Patients must be in good oral health. This ensures a strong, healthy foundation for cosmetic work. If you have existing oral health issues such as gum disease or tooth decay, they must be addressed before cosmetic treatments can be performed.
- A Commitment to Aftercare
- Cosmetic dentistry results can last for many years with proper dental care. We advise our patients to brush and floss regularly, avoid tobacco products, and steer clear of any other bad habits that might chip, crack, or stain teeth after a procedure.
- Cosmetic Dental Care Concerns
- If your dental issues only affect the appearance of your smile, you may be a candidate for cosmetic treatment. Issues that affect dental function, such as damaged or missing teeth, are best addressed with restorative or general dentistry treatments.
- Realistic Expectations
- Cosmetic dentistry can make a dramatic difference, but it's important that patients be realistic about what dentists can achieve. As part of a free evaluation, we can discuss your goals and show you before and after photos to inform your expectations.
                  Are You Interested in Cosmetic Dentistry?
                  
Set Up a Free Consultation Today to Discuss Your Treatment Options
          
  If you want to enhance your smile, there are plenty of options available. For those who've experienced tooth loss, we can even combine traditional cosmetic dentistry procedures with dental implants. Comprehensive makeovers like these can have remarkable results.
To request a consultation, contact our office in Scottsdale today. The entire team at Sonoran Dental Design is excited to see you.
“The measure of excellence.”
"Dr. Sielicki’s practice is the measure of excellence on all accounts from team to doctor. As a patient of Dr. Sielicki, I realized that a visit to the dentist didn’t have to equal high anxiety. Dr. Sielicki cares about the health and future state of her patient’s teeth/smile. Without question, my teeth are in the best state ever." — Deborah, 5-Star Review

Dental Anxiety 
Is No Problem
Is dental anxiety preventing you from achieving the smile of your dreams? Sedation dentistry offered at our North Scottsdale dental office can help you get the care you need. Oral conscious sedation provides anxiety relief both before and during your treatment so you can feel completely relaxed as your dentist transforms your smile.
Do You Need Some Touch-Up Work? Our Experienced Cosmetic Dentist Can Help Prolong Your Results
Even though veneers are stain-resistant and the effects can last for years, you'll eventually need to see a cosmetic dentist to make sure the results last. Dr. Sielicki can monitor the aesthetics of your smile and any cosmetic dentistry work during regular in-office cleanings and exams.
When the time comes, we can discuss additional teeth whitening treatment and the replacement of your porcelain crowns or veneers. The team at Sonoran Dental Design will be sure to provide all the info you need on the latest smile enhancement procedures.
          
        Discuss Your Dream Smile
with a Leading Dentist      
              
        Request a Free Consultation Now!      
      
Some people put off aesthetic dental work because they are concerned about the initial costs. That's understandable. Some cosmetic dentists in North Scottsdale charge patients just to provide a cursory oral exam and recommend some procedures.
There is no risk in finding out if Dr. Sielicki is the right dentist for you. She wants to give you the enhancements you have been dreaming of.
At Sonoran Dental Design, we want you to feel totally comfortable as our patient, which is why we offer free consultations. You can essentially audition our dentist and find out how she would recommend making your goals a reality.
Send us a message online or give us a call today to book your consultation with Dr. Sielicki:
Patients Love Us
"Staff is friendly, professional and knowledgeable. They take their time. Very thoughtful and thorough." — Susan, 5-Star Review
Cosmetic Dentistry FAQ
Our cosmetic dentist in Scottsdale believes patient education is essential. During your consultation, she will patiently answer all of your questions about our services. For now, here are a few questions we are frequently asked, along with answers that may help give you a frame of reference during your free consultation with Dr. Sielicki:
I need some restorative work done, but I also want my smile to look better. Can you help?
Yes! Every restoration we provide is custom-crafted to not only look natural, but also provide an attractive complement to surrounding teeth. If you have cavities, we exclusively use tooth-colored fillings because they provide a more natural-looking result and are actually a healthier fit for your smile.My tooth is discolored because of an old root canal procedure. Can whitening help?
When stains occur inside a tooth, teeth whitening isn't always an option. Fortunately, we provide solutions like porcelain veneers that can make your tooth look healthy regardless of what caused the discoloration.
I'm very interested in veneers, but not sure if I want to invest that much in cosmetic dentistry right now. Are there any good alternatives?
Dental bonding is an excellent way to experience some of the same benefits as veneers without having to invest a significant amount. Instead of using porcelain, bonding is a method of using tooth-colored resin to conceal imperfections. The results don't last as long and aren't as realistic, but they can provide a powerful smile upgrade and help you to make an informed decision.
I'm interested in a smile makeover. How long will it take to complete my treatment?
A smile makeover can involve a combination of procedures, so timeframes for treatment will vary. If Invisalign or dental implants are incorporated into your smile makeover, it will be a year or more until the process is complete. During your free consultation, we can offer a custom time estimate for your smile makeover so you can decide if it's right for you.
Are there cosmetic dentistry procedures for missing teeth?
Yes. Prosthodontics has a lot of crossover between cosmetic dentistry and rehabilitative dental work. We can place custom bridges and dentures to fill the spaces left in your smile. We can also use implant-supported crowns, bridges, and dentures if you are a good candidate for implant dentistry.





















