
Periodontics
Are you struggling with the effects of gum disease, like gum recession, gum pockets, or dental tenderness?
You can protect your oral health and prevent the need for more intensive dentistry later on with periodontics and Perio Protect®.
To learn more, visit Sonoran Dental Design in Scottsdale, AZ, for a periodontal consultation.
Understanding Periodontal Disease And How We Treat It

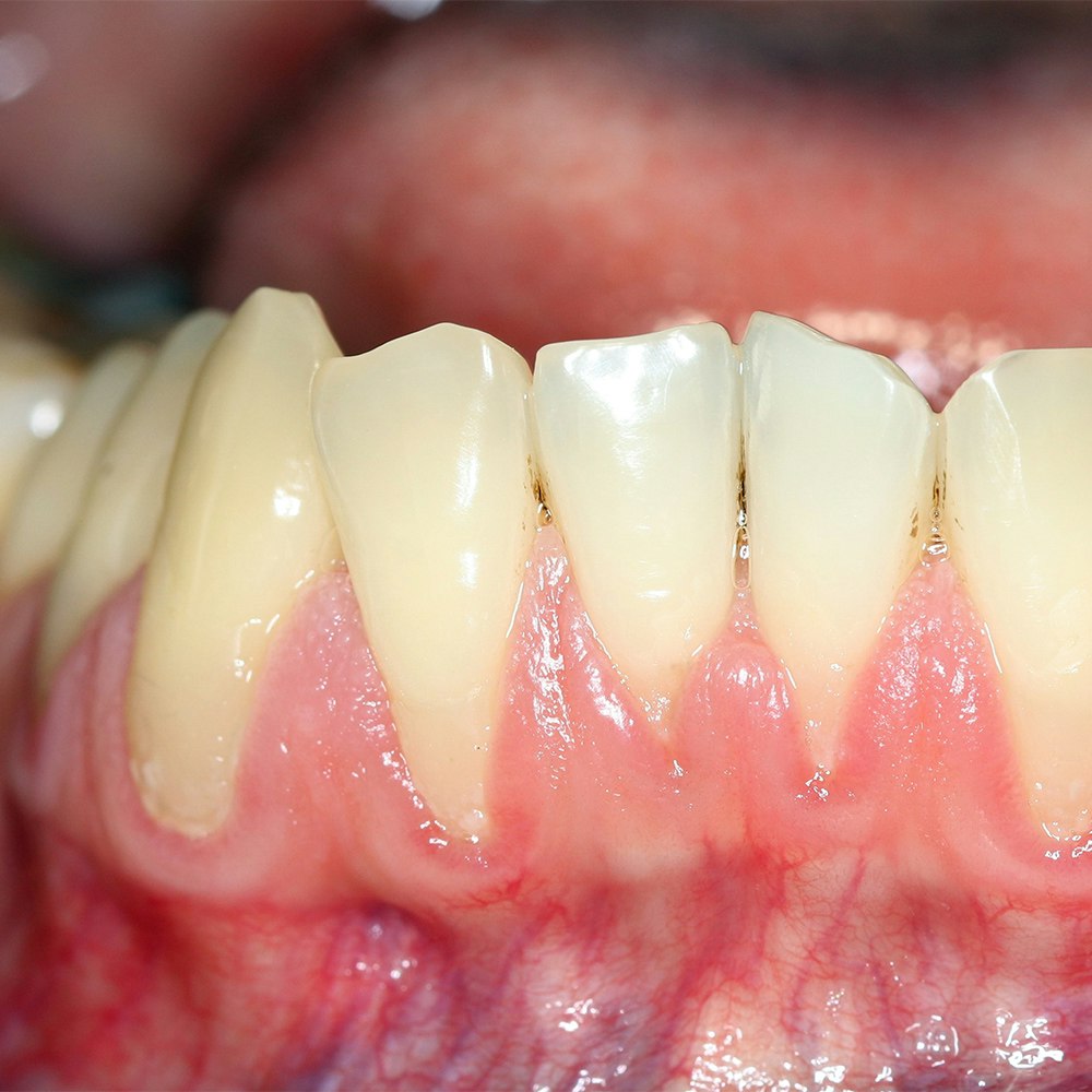
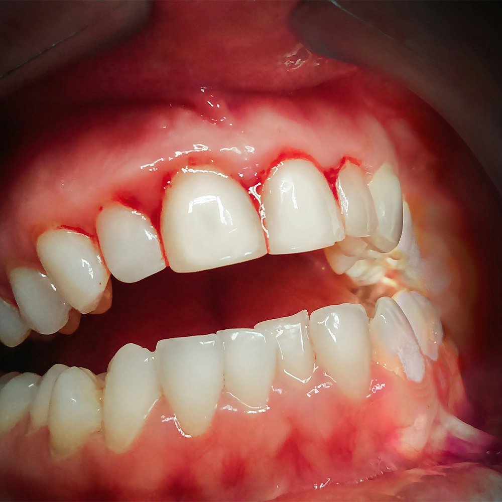
When plaque-causing bacteria is able to go beneath your gum line, it leads to a condition called gum disease, or periodontal disease. Over time, gum disease can compromise the status of your teeth, bone, and gums, requiring costly treatments like dental implants or periodontal surgery to restore your oral health.
Thankfully, periodontics can help. Some common periodontic treatments include scaling and root planing, laser dentistry, and at-home care. If you’re looking for an effective option that can be administered at home, consider Perio Protect®. Dr. Sielicki can restore your oral wellness with this advanced, FDA-approved treatment.
Why Scottsdale, AZ, Patients Trust Our Dentistry Practice for Periodontics
I have gone to this practice for over 20 years. It is 5 star all the way. Dentist and staff are patient, professional and caring. Immaculate office too.
View on GoogleI've been a patient with Dr. Sielicki for 22 years and my teeth are in awesome shape! It is wonderful to find a practice with consistent and caring staff.
View on GoogleTreating Your Gum Disease With Perio Protect
Though the idea of scaling and root planing, tissue grafts, and other periodontal treatments may sound nerve-wracking, we offer a periodontist-trusted preventative treatment to save your smile: the Perio Protect Method™.
It uses two custom-fit Perio Trays made directly by the Perio Protect lab. These trays help place and hold a safe, bacteria-destroying hydrogen peroxide medicine within your gum pockets — where regular brushing and flossing can't reach. You can complete treatment from anywhere in the world.

The Effectiveness Of Perio Protect

What Are the Benefits of Perio Protect?
Fighting Bacteria
With gum disease, infection and bacteria within the growing pockets around your gum line are a constant struggle — especially if you cannot access them. Address them at the source using your Perio Trays.
Flexible Application
You don't need to be in your dentist or periodontist's office for this treatment. Simply apply the medication to your trays, wear briefly as directed, and go about your day.
Less Invasive Care
Common periodontics treatments can require long and uncomfortable visits to the periodontist. You can lower the frequency of surgery or scaling and root planing — or prevent them entirely — with periodontics treatment from Perio Protect.A Beautiful Smile
While your oral health is the most important concern, it's nice to know that Perio Trays have cosmetic benfits, too. They'll improve the health and appearance of your gums. Plus, they use antimicrobials that can brighten your enamel.
Interested in Perio Protect?
Patients experiencing periodontal symptoms like bleeding, bad breath, or gum pockets may be candidates for Perio Protect. Whether you have questions about Perio Protect or gum disease itself, our Scottsdale team is happy to help. Each treatment is completely tailored to you — so come explore the possibilities.












